10月17日—18日,河南省眼科区域医疗中心、河南省眼科联盟学术年会暨眼科精准诊疗与创新技术论坛在郑州圆满落幕。作为河南省眼科领域年度规格最高、辐射力最广的学术盛会,大会汇聚 43位国内眼科权威专家、83家省市眼科联盟单位及300余名行业同仁,以 “精准诊疗 + 创新技术” 为核心,搭建起覆盖前沿研究、临床实践、基层赋能的高端交流平台,不仅为河南眼科医疗服务高质量发展锚定方向,更向全国传递了中原地区眼科诊疗的创新成果与实践经验。
国家三级甲等医院南阳南石医院眼科专家白石教授受邀参会,并在 “基层赋能” 板块作《开放性眼外伤的处理原则》专题授课,代表医院展现豫西南眼科诊疗的高水平实力,成为大会中彰显基层三甲医院专业担当的重要力量。

作为河南省眼科联盟核心成员单位,南阳南石医院始终以国家三级甲等医院的高标准深耕眼科领域,在眼外伤、白内障、青光眼、眼底病、屈光、视光等常见病、急重症的规范化诊疗与技术创新上持续突破,尤其在开放性眼外伤急诊救治、复杂病例综合管理方面形成了 “急诊响应快、诊疗流程规范、预后效果优” 的特色优势。此次大会聚焦 “基层赋能”,正是对三甲医院 “引领基层医疗能力提升” 社会责任的重要呼应 —— 白石教授受邀授课,既是大会对医院眼科专业水平的高度认可,更是医院以学术输出推动区域眼科资源整合、技术下沉的重要实践,为解决基层眼科 “诊疗能力不均衡、急重症处理经验不足” 的痛点提供了 “南石方案”。

白石教授的授课以 “临床需求为导向、以指南为依据、以实战为支撑”,构建了 “现状分析—规范定义—全流程处理—特殊难点突破” 的清晰思路,既符合国家三甲医院诊疗逻辑,又兼顾基层临床可操作性,核心内容可概括为四大维度:
授课开篇即点明我国眼外伤的严峻现状:年均发生眼外伤500万—1200万例,占眼科住院患者16%—35%,是单眼盲的首要原因,其中儿童外伤、青壮年职业性外伤(农民、工人为高危群体)、交通事故为主要致因,男性发病率(占比超70%)显著高于女性。同时指出我国眼外伤流行病学研究 “缺乏长期全面病例资料” 的短板,强调规范诊疗对降低致盲率的关键意义;建议重视眼外伤登记工作,为后续眼外伤治疗规范和临床指南提供现实依据。

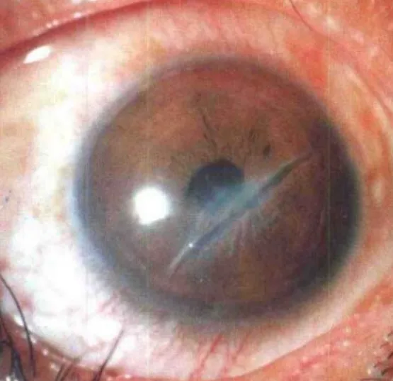
从医学定义出发,明确开放性眼外伤为 “由钝性或尖锐物体所致的眼球壁(角膜或巩膜)全层裂伤”。按眼外伤学会标准分为 “破裂伤(钝性外力所致)、裂伤(锐器所致,含穿通伤、贯通伤)、眼内异物” 三类。按损伤区域划分Ⅰ区(局限于角膜内、包括角巩膜缘)、Ⅱ区(角巩膜缘后5mm内区域)、Ⅲ区(超过角巩膜缘后5mm区域、通常累及视网膜)。为后续 “分区差异化处理” 提供分类依据,完全契合《中华眼科学》《同仁眼外伤手术治疗学》等权威指南标准。

围绕 “术前—术中—术后” 全周期,白石教授系统讲解三甲医院诊疗规范:术前强调 “全身优先+精准评估”,即先按 ABC 原则(气道、呼吸、循环)排除危及生命的损伤,再通过 CT(金标准)排查眼内异物与眼眶骨折,轻柔检查眼前段避免加重损伤;术前紧急处理聚焦 “防感染、护眼球”,包括使用金属 / 塑料护眼罩(禁加压)、广谱抗生素(覆盖G+、G-菌,污染时加抗厌氧菌)、破伤风抗毒素注射(必须询问免疫史),同时客观分析激素使用的 “抗炎与感染风险平衡” 争议;术中按分区细化操作:Ⅰ区伤口依大小(3mm 为界)决定缝合或保守处理,Ⅱ区优先对齐缝合角巩膜缘,Ⅲ区注重巩膜充分暴露与组织回纳;术后管理突出 “抗炎、降眼压、防并发症”,重点警惕增生性玻璃体视网膜病变(PVR)这一 “致盲关键因素”。
针对基层医生最困惑的 “无光感眼处理”“眼内异物合并症” 等问题,白石教授给出明确指引:无光感眼不建议Ⅰ期眼球摘除,多数患者经规范修复仍有视力恢复可能,仅在 “伤前已失明、全身不耐受手术、无法修复” 等极少数情况考虑摘除;眼内异物按性质区分处理,活性金属(铁、铅、铜)及生物性异物优先Ⅰ期取出,稳定异物(玻璃、塑料)可分期处理,且不建议从原伤口取出,避免二次损伤。授课中还融入医院两例典型急诊病例(右眼球穿通伤、右眼球破裂伤),以 “病例+方案” 的形式让基层医生直观掌握诊疗逻辑,现场反响热烈。
白石教授的授课得到参会专家与基层同仁的高度评价,不少基层医生表示 “内容既符合三甲医院规范,又能直接落地临床,解决了我们处理开放性眼外伤的‘卡脖子’问题”。这份认可背后,是南阳南石医院眼科多年来的专业积淀 —— 作为豫西南地区眼外伤急诊救治核心单位,医院建立了 “24 小时急诊响应机制”,配备高清眼底相机、光学相干断层扫描仪(OCT)、眼科专用 CT 等先进设备,形成 “多学科协作(MDT)” 诊疗模式,在复杂眼外伤、糖尿病视网膜病变、高度近视黄斑病变等领域的诊疗水平已与省内顶尖医院接轨。
此次白石教授代表医院站上省级学术讲台,不仅是个人专业能力的体现,更标志着南阳南石医院眼科诊疗水平已跻身河南省前沿行列,成为推动豫西南眼科事业发展的 “领头雁”。未来,医院将以此次学术交流为契机,持续加强与省内外顶尖眼科机构的合作,紧跟精准诊疗与创新技术趋势,进一步完善 “防—筛—诊—治—康” 全周期眼健康服务体系,为守护南阳及周边地区百姓眼健康、助力河南省眼科医疗服务高质量发展贡献更多 “南石力量”。
专家介绍 PROFILE
白石
眼科中心主任
眼科主任
副主任医师
南阳医师协会眼科分会副会长
河南省医学会眼科分会委员
本科,毕业于河南科技大学医学院,从事眼科临床工作近20年,赴郑大一附院眼科等进修深造,多次赴全国知名眼科中心交流学习。主、参编眼科专著多部,发表国家级论文数篇,获得市级以上科技成果奖多项。
擅长专业:对各种眼底病(如:视网膜脱离、黄斑裂孔、黄斑前膜、糖尿病视网膜病变等)、视神经病变、青光眼及严重眼外伤诊疗等有较深造诣,对常见及多发眼病诊疗经验丰富。
技术特长:精通各种眼底病手术:南阳市首家开展25G、27G微创玻璃体切割手术。黄斑裂孔修复术、硅油取出术、抗-VEGF药物玻璃体内药物注射术、眼底激光光凝术、眼底荧光造影术等,糖尿病视网膜病变各期的个体化防控治疗。精通视网膜静脉阻塞等血管疾病。各种黄斑疾病即黄斑裂孔的手术治疗。视网膜脱离外路、内路手术。精通青光眼手术:新生血管等难治性青光眼的个体化治疗。精通各种眼外伤手术治疗。近年来,年主刀手术2000余例。
扩展阅读:
一场学术盛会,两大诊疗中心,43位眼科权威,83家联盟单位,赋能河南眼科新发展